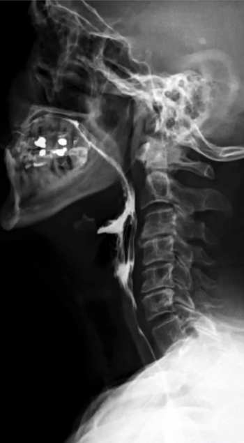
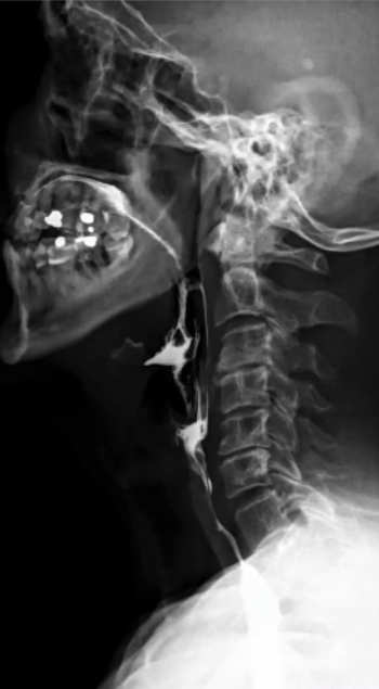
Transit oesophagien et gestro-duodénal (TOGD)

Description de l'examen

Cet examen permet de visualiser la progression d’un produit opaque au niveau de l’œsophage, de l’estomac et du duodénum et d’étudier les parois digestives.

Informations importantes

Lors de votre prise de rendez-vous, la secrétaire vous aura remis une ordonnance demandant de vous présenter avec un produit de contraste opaque : baryte ou hydrosoluble.

Cet examen est réalisé de préférence le matin car vous devez être à jeun (sans manger, sans boire, sans fumer).

Il est important de préciser si vous avez subit une opération récemment ou si une opération est prévue dans les jours suivants l’examen. Précisez également au manipulateur si vous avez déjà eu des perforations au niveau du tube digestif ou si vous faites fréquemment des fausses routes.

Si vous avez des questions, n’hésitez pas à en faire part à la personne qui vous prendra en charge.

Déroulement de l'examen

Lors de l’examen, le manipulateur vous demandera d’ingérer le produit opaque à des moments précis. Il est important d’écouter les consignes du manipulateur afin d’obtenir un examen de bonne qualité.

L’examen est indolore et dure entre 15 et 20 minutes.

Documents importants
  • Questionnaire consentement que vous avez reçu complété et signé
  • Vos radiographies ou précédents examens en rapport avec votre rendez-vous, pour que votre radiologue puisse interpréter votre examen dans les meilleures conditions
  • L'ordonnance du médecin prescrivant l'acte.
  • La liste des médicaments que vous prenez
  • La CARTE VITALE à jour
  • L'attestation CMU ou ACS
  • La feuille d’accident de travail (si besoin)
  • L’attestation si vous êtes en maladie professionnelle
  • Un moyen de règlement (chèque, CB ou espèces)

Prendre rendez-vous

Simple et rapide quelques clics suffisent.

Préparer votre venue

Tout ce que vous devez savoir afin de préparer votre examen.

Les différents centres où sont pratiqués cet examen


G

58 quai Vendeuvre

14000 CAEN

14 - 16 rue des Jacobins

14000 Caen

20 avenue du capitaine Georges Guynemer

14000 CAEN